Nấm dương vật là một bệnh lý nam khoa phổ biến, gây ảnh hưởng trực tiếp đến sức khỏe và tâm lý của phái mạnh, đòi hỏi sự nhận biết và xử lý kịp thời. Tình trạng này chủ yếu do nấm Candida phát triển quá mức, thường liên quan đến vệ sinh kém hoặc hệ miễn dịch suy giảm. Bài viết dưới đây 99 MEN clinic sẽ cung cấp một cái nhìn toàn diện về tình trạng nhiễm trùng, viêm nhiễm này, từ nguyên nhân, dấu hiệu ngứa rát, mẩn đỏ đến các phương pháp điều trị bằng thuốc kháng nấm hiệu quả, giúp bạn giải quyết dứt điểm vấn đề.
Nấm dương vật là gì?
Nấm dương vật, hay còn gọi là nấm bao quy đầu hoặc viêm quy đầu do nấm, là tình trạng nhiễm trùng ở đầu dương vật (quy đầu) gây ra bởi sự phát triển quá mức của một loại nấm men, phổ biến nhất là vi khuẩn Candida albicans. Loại nấm này vốn tồn tại một cách tự nhiên trên da và trong cơ thể người với số lượng nhỏ. Tuy nhiên, khi gặp điều kiện thuận lợi như môi trường ẩm ướt hoặc hệ miễn dịch suy yếu, chúng sẽ bùng phát và gây ra tình trạng viêm nhiễm.
Nấm Candida nam giới không phải là bệnh lây truyền qua đường tình dục (STD) theo định nghĩa truyền thống, nhưng nó hoàn toàn có thể lây truyền qua lại giữa các cặp đôi khi quan hệ tình dục không an toàn.

Xem thêm: Dương vật chảy mủ trắng đục là bệnh gì
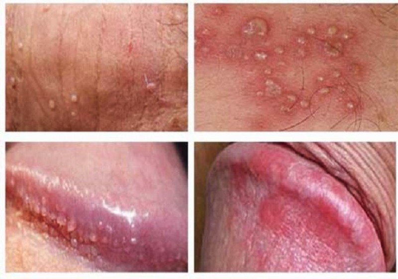
8+ Dấu hiệu nhận biết nấm dương vật không thể bỏ qua
Bị ngứa rát do nấm đầu dương vật là dấu hiệu điển hình nhất, nhưng bên cạnh đó còn nhiều triệu chứng khác bạn cần chú ý. Nếu bạn có từ 3 dấu hiệu trở lên trong danh sách dưới đây, khả năng cao bạn đã mắc bệnh:
- Ngứa và nóng rát: Cảm giác ngứa ngáy dữ dội, liên tục ở vùng quy đầu và bao quy đầu, đặc biệt tăng lên sau khi hoạt động hoặc về đêm.
- Nổi mẩn đỏ: Xuất hiện các đốm đỏ hoặc mảng đỏ trên đầu dương vật.
- Xuất hiện bợn trắng: Đây là đặc điểm độc đáo nhất. Có các mảng trắng, vón cục như phô mai nằm dưới da bao quy đầu, dễ dàng cạo ra.
- Da khô và bong tróc: Vùng da ở quy đầu trở nên khô, căng bóng và có thể bong tróc, nứt nẻ.
- Sưng tấy: Đầu dương vật bị sưng và tấy đỏ.
- Đau khi đi tiểu hoặc quan hệ: Cảm giác nóng rát khi tiểu và đau nhói khi cương cứng hoặc khi quan hệ.
- Tiết dịch và có mùi bất thường: Có dịch tiết lỏng, màu trắng đục và mùi hôi bất thường, hơi chua.
- Khó khăn với bao quy đầu: Bao quy đầu bị dính chặt vào quy đầu, khó tuột lên hoặc xuống hơn bình thường.

5 Nguyên nhân chính gây ra dương vật bị nấm ở nam giới
Hiểu rõ nguyên nhân giúp bạn không chỉ điều trị hiệu quả mà còn phòng ngừa bệnh tái phát.
- Vệ sinh cá nhân không đúng cách: Đây là nguyên nhân hàng đầu. Việc không vệ sinh sạch sẽ bộ phận sinh dục ngoài, đặc biệt là vùng dưới bao quy đầu, tạo ra môi trường độ ẩm cao. Vệ sinh kém khiến cặn bẩn, bựa sinh dục tích tụ, là điều kiện lý tưởng cho nấm men phát triển.
- Mặc đồ lót quá chật, ẩm ướt: Mặc đồ lót làm từ chất liệu không thấm hút, bó sát khiến vùng kín bị bí bách, đổ mồ hôi. Môi trường ẩm ướt này chính là thiên đường cho nấm Candida.
- Quan hệ tình dục không an toàn: Nấm dương vật có lây không? Câu trả lời là có. Bạn có thể bị lây nhiễm từ bạn tình bị nhiễm nấm âm đạo nếu quan hệ không an toàn. Mặc dù không phải bệnh STD, nhưng đây là một con đường lây nhiễm phổ biến.
- Tác dụng phụ của thuốc kháng sinh: Việc điều trị kháng sinh trong thời gian dài không chỉ tiêu diệt vi khuẩn có hại mà còn làm chết các vi khuẩn có lợi, gây mất cân bằng hệ vi sinh trên cơ thể. Nếu mất đi sự cân bằng này, nấm Candida sẽ có cơ hội bùng phát.
- Hệ miễn dịch suy giảm: Một hệ miễn dịch yếu do căng thẳng, thiếu ngủ, hoặc do các bệnh lý như tiểu đường, HIV… sẽ không đủ sức kiểm soát sự phát triển của vi sinh vật. Do đó, những người có suy giảm miễn dịch có nguy cơ mắc bệnh cao hơn.

Xem thêm: Nguyên nhân dương vật sưng mọng nước?
Nấm dương vật có nguy hiểm không? Biến chứng có thể gặp phải
Nấm dương vật có nguy hiểm không? Dù không đe dọa tính mạng ngay lập tức, nhưng nếu không điều trị hoặc để bệnh tái phát liên tục, nó có thể gây ra nhiều biến chứng nghiêm trọng:
Ảnh hưởng đến tâm lý và đời sống tình dục
Cảm giác ngứa ngáy, tự ti về “cậu nhỏ” gây ra stress, mặc cảm, né tránh quan hệ tình dục, ảnh hưởng trực tiếp đến hạnh phúc lứa đôi.
Các biến chứng y khoa tiềm ẩn
- Viêm quy đầu và bao quy đầu mãn tính.
- Nhiễm trùng ngược dòng gây viêm niệu đạo, viêm bàng quang, viêm tuyến tiền liệt.
- Gây hẹp bao quy đầu thứ phát do sẹo từ các tổn thương loét nhỏ.
- Hiếm gặp ở người có hệ miễn dịch cực kỳ yếu, nấm có thể xâm nhập vào máu gây nhiễm nấm huyết (Candidaemia) rất nguy hiểm.

Quý khách hàng có thể xem thêm các nội dung liên quan đến bệnh lý cậu nhỏ tại: https://www.youtube.com/@99menclinicvn
Chẩn đoán chính xác dương vật bị nấm như thế nào?
Để có phác đồ điều trị chính xác, bạn cần đến các cơ quan y tế uy tín để được bác sĩ thăm khám. Quy trình chẩn đoán thường bao gồm:
- Khám lâm sàng: Bác sĩ da liễu hoặc nam khoa sẽ hỏi về triệu chứng bạn gặp phải, tiền sử bệnh lý và quan sát trực tiếp các tổn thương ở cơ quan sinh dục nam.
- Xét nghiệm: Để xác định chính xác tác nhân, bác sĩ có thể lấy một mẫu dịch hoặc tế bào từ vùng tổn thương để soi tươi dưới kính hiển vi hoặc nuôi cấy. Việc này giúp khẳng định sự hiện diện của nấm Candida và loại trừ các nguyên nhân khác.
Các cách điều trị nấm dương vật hiệu quả và an toàn
Việc điều trị cần tuân thủ nghiêm ngặt chỉ định của bác sĩ để đảm bảo dứt điểm và tránh tái phát.
Cách chữa nấm dương vật tại nhà
Các biện pháp tại nhà chỉ nên được xem là phương pháp hỗ trợ, giúp giảm triệu chứng và thúc đẩy quá trình hồi phục, không thể thay thế phác đồ của bác sĩ.
Tuyệt đối không tự ý đắp các loại lá cây (trầu không, tỏi…) hoặc bôi các loại thuốc không rõ nguồn gốc lên vùng da nhạy cảm. Điều này có thể gây bỏng rát, dị ứng, làm tình trạng viêm nhiễm nặng hơn.
- Vệ sinh đúng cách: Rửa nhẹ nhàng vùng kín 1-2 lần/ngày bằng nước muối sinh lý hoặc dung dịch vệ sinh nam dịu nhẹ, có độ pH cân bằng. Lau khô hoàn toàn bằng khăn sạch, mềm.
- Giữ vùng kín khô thoáng: Mặc quần lót rộng rãi, chất liệu cotton thấm hút tốt.
Điều trị y khoa bằng thuốc
Đây là phương pháp điều trị chính và hiệu quả nhất, sử dụng các loại dược phẩm điều trị nấm.
- Thuốc bôi tại chỗ: Bác sĩ thường sẽ kê đơn các loại thuốc bôi chống nấm chứa hoạt chất như Clotrimazole, Miconazole… Bạn cần bôi một lớp mỏng lên vùng da bị tổn thương 1-2 lần/ngày theo chỉ định.
- Thuốc uống kháng nấm: Trong trường hợp nhiễm trùng nặng, tái phát nhiều lần hoặc nhiễm nấm do bệnh tiểu đường, bác sĩ có thể chỉ định thuốc uống kháng nấm như Fluconazole, Itraconazole. Thuốc uống cần được sử dụng đúng liều lượng và có sự giám sát y tế.
Điều trị ngoại khoa
Nếu nguyên nhân gây nấm tái phát nhiều lần là do cấu trúc dài hoặc hẹp bao quy đầu khiến việc vệ sinh gặp khó khăn, bác sĩ có thể tư vấn phương pháp cắt bao quy đầu. Phẫu thuật này giúp giải quyết triệt để nơi trú ngụ của vi khuẩn và nấm, ngăn ngừa bệnh quay trở lại.
Hướng dẫn chăm sóc và phòng ngừa nấm dương vật tái phát
Sau khi điều trị khỏi, việc duy trì các thói quen tốt là chìa khóa để ngăn căn bệnh này quay trở lại.
Checklist vệ sinh hàng ngày:
- Rửa sạch vùng kín mỗi ngày và sau mỗi lần quan hệ. Đặc biệt chú ý lộn bao quy đầu để rửa sạch các cặn bẩn bên trong.
- Luôn lau khô hoàn toàn “cậu nhỏ” sau khi tắm hoặc đi vệ sinh.
Lựa chọn trang phục phù hợp:
- Ưu tiên quần lót bằng vải cotton thoáng khí.
- Tránh mặc quần dài hoặc quần lót quá chật, bí bách trong thời gian dài.
Quan hệ tình dục an toàn:
- Luôn sử dụng bao cao su, đặc biệt là với bạn tình mới.
- Nếu bạn tình bị nhiễm nấm âm đạo, cả hai cần điều trị đồng thời và kiêng quan hệ cho đến khi khỏi hẳn.

Xây dựng lối sống lành mạnh:
- Hạn chế thực phẩm nhiều đường, đồ uống có cồn vì chúng là “thức ăn” yêu thích của nấm men.
- Tăng cường rau xanh, sữa chua (chứa lợi khuẩn) để nâng cao hệ miễn dịch.
Câu hỏi thường gặp về nấm dương vật (FAQ)
Nấm dương vật có tự khỏi không?
Rất hiếm khi tự khỏi. Nếu không có sự can thiệp của các loại thuốc trị nấm, tình trạng viêm có thể kéo dài, nặng hơn và gây biến chứng.
Bị nấm dương vật có nên quan hệ không?
Tuyệt đối không nên. Việc quan hệ khi đang bị bệnh không chỉ làm tổn thương nặng hơn mà còn có nguy cơ rất cao lây nhiễm cho bạn tình.
Thời gian điều trị nấm dương vật mất bao lâu?
Nếu được phát hiện sớm và điều trị đúng cách, các triệu chứng thường cải thiện sau vài ngày và khỏi hoàn toàn trong vòng 1-2 tuần.
Nấm dương vật là một bệnh lý gây khó chịu nhưng hoàn toàn có thể kiểm soát và điều trị dứt điểm. Chìa khóa quan trọng nhất là nhận biết sớm các dấu hiệu, không chủ quan và không tự ý điều trị tại nhà bằng các phương pháp chưa được kiểm chứng.
Đừng ngần ngại hay tự ti, sức khỏe của cơ thể nam giới là điều cần được ưu tiên hàng đầu. Ngay khi phát hiện các triệu chứng bất thường, hãy chủ động liên hệ ngay trung tâm thẩm mỹ 99 men clinic qua hotline: 0797 28 47 99 để Bác sĩ tư vấn phác đồ điều trị phù hợp nhất. Hành động sớm chính là cách tốt nhất để bảo vệ sức khỏe và sự tự tin của bạn.

Tiến sĩ – Bác sĩ Lê Trọng Khôi với kinh nghiệm 20 năm công tác trong ngành phẫu thuật thẩm mỹ nam giới, là người sáng lập 99 MEN clinic đi tiên phong trong lĩnh vực chăm sóc trị liệu sức khỏe nam giới. Hiện ông đang công tác tại Bệnh viện Bình Dân là Bệnh viện đầu ngành Ngoại tiết niệu – Nam khoa trong khu vực Đông Nam Á.
