Việc bỗng nhiên thấy cậu nhỏ nổi mụn trắng không ngứa khiến cánh mày râu rất lo lắng, không biết mình bị mụn sinh lý hay lây bệnh xã hội. Thực tế, đa số các trường hợp mụn trắng không ngứa đều là lành tính, nhưng bạn cũng không nên chủ quan. Bài viết này 99 men clinic sẽ giúp bạn phân biệt nhanh các loại mụn để có hướng xử lý đúng và an toàn.
Cậu nhỏ nổi mụn trắng không ngứa có nguy hiểm không?
Nếu bạn bị dương vật nổi mụn trắng mà không thấy ngứa ngáy hay đau rát, hãy bình tĩnh quan sát. Thông thường:
- Ít nguy hiểm: Nếu mụn mọc đều, ổn định, không to lên và không lây lan thêm (thường là mụn sinh lý).
- Cần chú ý: Nếu mụn mọc thành cụm sần sùi hoặc to dần theo thời gian (có thể là bệnh lý lây qua đường tình dục).
Lời khuyên: Đừng vội nặn hay bôi thuốc lạ. Hãy đối chiếu với các mục dưới đây để xem mình thuộc trường hợp nào.
Lý do dương vật nổi mụn trắng nhưng không ngứa
Dưới đây là 5 lý do thông thường khiến cậu nhỏ nổi mụn trắng không gây ngứa:
Chuỗi hạt ngọc dương vật
Đây là nguyên nhân hàng đầu khiến đầu dương vật nổi mụn trắng.
- Dấu hiệu: Những nốt mụn nhỏ xíu, bóng mịn, mọc thành hàng chạy quanh rãnh quy đầu giống như một vòng hạt ngọc.
- Đặc điểm: Không đau, không ngứa, không lây. Đây chỉ là sự phát triển quá mức của tế bào vùng kín, hoàn toàn bình thường.

Hạt bã nhờn Fordyce
Nếu bạn thấy thân dương vật nổi mụn trắng hoặc hơi vàng, nằm ẩn dưới da thì đó là hạt bã nhờn.
- Dấu hiệu: Các đốm nhỏ rải rác hoặc mọc thành mảng.
- Nguyên nhân: Do các tuyến dầu dưới da hoạt động mạnh. Nó giống như mụn cám nhưng không gây hại gì cho sức khỏe.

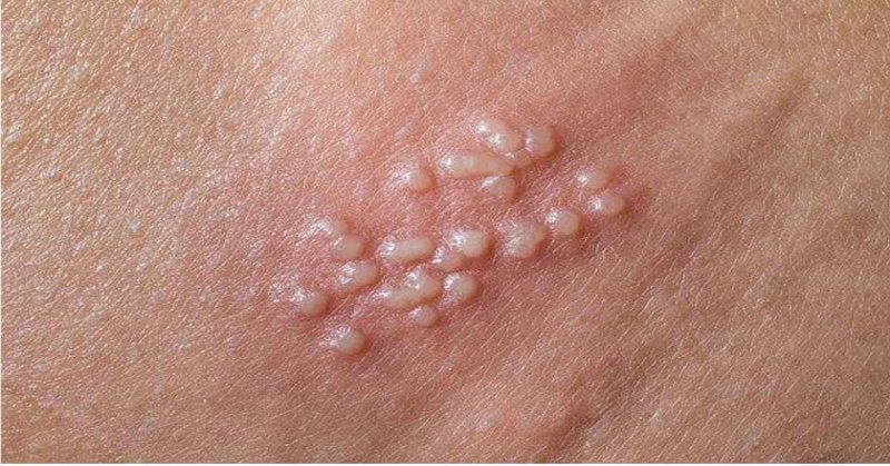
Sùi mào gà (Cần đặc biệt lưu ý)
Đây là bệnh cần điều trị sớm. Lúc mới phát triển, sùi mào gà cũng khiến dương vật nổi mụn trắng nhưng không gây ngứa.
- Dấu hiệu: Mụn mọc đơn lẻ, có bề mặt sần sùi. Sau một thời gian, chúng mọc chụm lại thành đám trông giống như mào con gà hoặc hoa súp lơ.
- Nguy cơ: Lây lan rất nhanh cho bạn tình qua đường tình dục.

Viêm nang lông hoặc tắc lỗ chân lông
Thường xuất hiện khi bạn vệ sinh không sạch hoặc mặc quần lót quá chật, bí bách.
- Dấu hiệu: Các nốt mụn trắng nhỏ mọc ngay chân lông vùng kín.
- Xử lý: Chỉ cần giữ vệ sinh sạch sẽ, thay quần lót thoáng mát là mụn sẽ tự lặn.
Mụn trứng cá sinh dục
Giống như mụn trên mặt, đôi khi vùng kín cũng bị nổi mụn trứng cá do bít tắc lỗ chân lông. Những nốt này thường chỉ xuất hiện vài ngày rồi tự hết.
Bảng so sánh nhận biết đang bị loại mụn nào?
| Loại mụn | Hình Dáng | Vị trí thường gặp | Khả năng lây |
| Chuỗi hạt ngọc | Hạt nhỏ, mọc thành hàng | Rãnh quy đầu | Không lây |
| Hạt bã nhờn | Đốm mịn ẩn dưới da | Thân dương vật, bìu | Không lây |
| Sùi mào gà | Sần sùi, mọc thành cụm | Quy đầu, thân dương vật | Lây rất mạnh |
| Viêm lỗ chân lông | Có sợi lông ở giữa | Gốc dương vật | Không lây |
Cách xử lý khi cậu nhỏ nổi mụn trắng không ngứa
Tùy vào nguyên nhân mà chúng ta có cách xử lý khác nhau:
Đối với mụn sinh lý (Hạt ngọc, Fordyce): Bạn không cần làm gì cả vì chúng không có hại. Nếu thấy mất thẩm mỹ, bạn có thể đến phòng khám để bác sĩ xử lý bằng laser rất nhanh.
Đối với bệnh lý (Sùi mào gà): Tuyệt đối không tự mua thuốc bôi linh tinh. Bạn cần đi khám để bác sĩ kê đơn thuốc đặc trị hoặc dùng công nghệ áp lạnh, đốt điện để loại bỏ mụn.
Vệ sinh tại nhà
- Sử dụng nước sạch hoặc dung dịch vệ sinh dịu nhẹ hằng ngày.
- Luôn giữ vùng kín khô thoáng, không mặc đồ lót ẩm ướt.
- Tuyệt đối không dùng tay nặn mụn vì dễ gây nhiễm trùng và lở loét.
Các câu hỏi thường gặp (FAQ)
Mụn trắng không ngứa có tự hết không?
Mụn trứng cá hay viêm nang lông có thể tự hết. Tuy nhiên, chuỗi hạt ngọc sẽ tồn tại lâu dài, còn sùi mào gà thì phải điều trị mới khỏi.
Tôi có nên quan hệ khi đang nổi mụn trắng không?
Nếu chưa chắc chắn đó là mụn lành tính, bạn nên dùng bao cao su hoặc tạm kiêng quan hệ để đảm bảo an toàn cho bạn tình.
Đa số trường hợp dương vật nổi mụn trắng không ngứa là bình thường. Tuy nhiên, nếu thấy mụn phát triển nhanh hoặc có hình dáng lạ, đừng ngần ngại hỏi ý kiến bác sĩ để được tư vấn chính xác nhất. Bạn đang lo lắng hay có những câu hỏi thắc mắc nào hãy liên hệ qua Hotline: 0797 28 47 99 để được tư vấn và giải đáp kịp thời.

Tiến sĩ – Bác sĩ Lê Trọng Khôi với kinh nghiệm 20 năm công tác trong ngành phẫu thuật thẩm mỹ nam giới, là người sáng lập 99 MEN clinic đi tiên phong trong lĩnh vực chăm sóc trị liệu sức khỏe nam giới. Hiện ông đang công tác tại Bệnh viện Bình Dân là Bệnh viện đầu ngành Ngoại tiết niệu – Nam khoa trong khu vực Đông Nam Á.
