Việc xuất hiện những nốt mụn lạ tại bộ phận sinh dục luôn là nỗi ám ảnh đối với phái mạnh. Mụn cóc cậu nhỏ không chỉ gây mất thẩm mỹ, ảnh hưởng đến tâm lý mà còn tiềm ẩn nhiều nguy cơ biến chứng nguy hiểm nếu không được can thiệp kịp thời. Bài viết dưới đây của 99 MEN Clinic, sẽ cung cấp cái nhìn toàn diện nhất để giúp quý ông bảo vệ bản lĩnh và sức khỏe của mình.
Mụn cóc cậu nhỏ là gì? Có phải là sùi mào gà không?
Mụn cóc cậu nhỏ (hay mụn cóc sinh dục – Genital Warts) thực chất là một biểu hiện lâm sàng của bệnh sùi mào gà. Đây là tình trạng tăng sinh các tế bào biểu mô ở vùng kín do sự tấn công của virus gây u nhú ở người (HPV).
Nhiều nam giới thường lầm tưởng đây là hai bệnh lý khác nhau, nhưng thực tế chúng đều bắt nguồn từ một “thủ phạm” chung là virus HPV (đặc biệt là các tuýp 6 và 11). Việc hiểu đúng bản chất bệnh lý là bước đầu tiên để tìm kiếm lộ trình điều trị chuẩn xác, tránh việc tự ý mua thuốc không rõ nguồn gốc gây tổn thương thêm cho “cậu nhỏ”.

Cách nhận biết triệu chứng mụn cóc ở bộ phận sinh dục nam
Mụn cóc sinh dục có thời gian ủ bệnh khá dài (từ 2 đến 9 tháng), do đó nam giới cần đặc biệt chú ý đến các thay đổi nhỏ nhất:
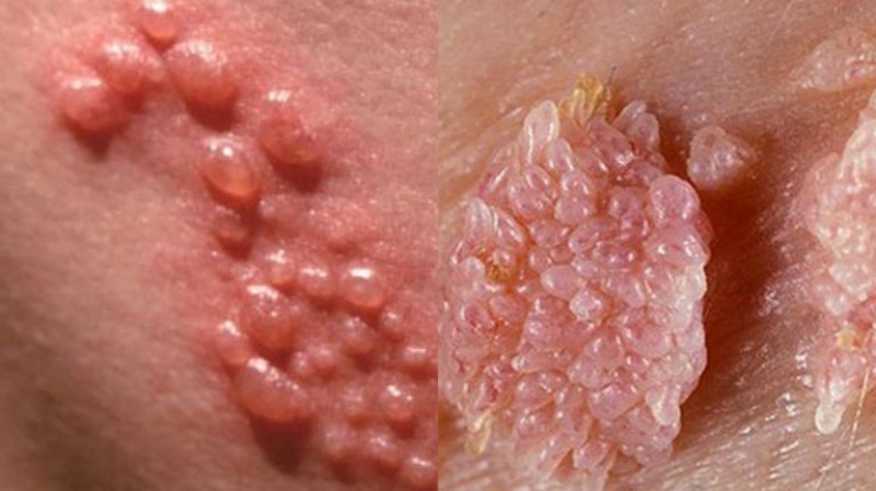
- Hình dạng: Ban đầu là các nốt sần nhỏ, li ti, màu hồng nhạt hoặc trùng với màu da. Sau một thời gian, chúng phát triển liên kết lại thành cụm có hình dáng giống như súp lơ hoặc mào gà.
- Vị trí xuất hiện: Thường tập trung tại thân dương vật, bao quy đầu, rãnh quy đầu, lỗ sáo hoặc xung quanh hậu môn.
- Cảm giác: Đa số không gây đau rác ở giai đoạn đầu. Tuy nhiên, khi mụn lớn dần sẽ gây vướng víu, dễ bị trầy xước và chảy máu khi có va chạm hoặc quan hệ tình dục.
- Tiết dịch: Các nốt mụn có thể vỡ ra, gây ẩm ướt và có mùi hôi khó chịu.
Phân biệt mụn cóc cậu nhỏ với các tình trạng dễ nhầm lẫn
Để tránh hoang mang hoặc điều trị sai cách, bạn cần phân biệt rõ mụn cóc với các hiện tượng sinh lý khác thông qua bảng so sánh dưới đây:
| Tiêu chí | Mụn cóc cậu nhỏ (sùi mào gà) | Chuỗi hạt ngọc dương vật | Mụn rộp sinh dục (herpes) |
| Hình dạng | Sần sùi, dạng súp lơ/mào gà | Hạt nhỏ đều, xếp thành hàng | Mụn nước li ti, dễ vỡ |
| Cảm giác | Không đau, dễ chảy máu | Không đau, không ngứa | Đau rát, châm chích |
| Tính lây lan | Lây truyền cực nhanh qua tình dục | Không lây (Lành tính) | Lây truyền qua tiếp xúc dịch |
| Nguyên nhân | Virus HPV | Sự ứ đọng chất bẩn/sinh lý | Virus HSV |
Nguyên nhân khiến nam giới bị nổi mụn cóc ở “vùng kín”
Virus HPV là nguyên nhân duy nhất gây ra tình trạng này. Tuy nhiên, cách thức virus này xâm nhập vào cơ thể nam giới thường qua các con đường:
- Quan hệ tình dục không an toàn: Chiếm hơn 90% trường hợp lây nhiễm (bao gồm cả quan hệ bằng miệng hoặc hậu môn).
- Tiếp xúc gián tiếp: Sử dụng chung đồ cá nhân (khăn tắm, đồ lót) có chứa dịch tiết của người bệnh qua các vết thương hở.
- Hệ miễn dịch suy giảm: Những người có sức đề kháng kém thường dễ bị virus tấn công và phát bệnh nhanh hơn.
Mụn cóc cậu nhỏ có nguy hiểm không? Biến chứng cần lưu ý
Nếu không được điều trị tại các cơ sở chuyên khoa, mụn cóc có thể dẫn đến:
- Tổn thương tâm lý: Gây mặc cảm, tự ti, e ngại trong đời sống vợ chồng.
- Lây nhiễm cho bạn đời: Đây là nguồn lây chính khiến đối tác nữ có nguy cơ mắc ung thư cổ tử cung.
- Biến chứng ung thư: Một số tuýp HPV nguy cơ cao (16, 18) có thể dẫn đến ung thư dương vật hoặc ung thư hậu môn.

Các phương pháp điều trị mụn cóc cậu nhỏ hiện nay
Hiện nay, y khoa đã có nhiều bước tiến trong việc loại bỏ nốt sùi:
- Dùng thuốc: Chỉ hiệu quả với các nốt mụn cực nhỏ và ở vị trí bên ngoài. Cần có sự chỉ định của bác sĩ.
- Phương pháp truyền thống: Đốt điện, áp lạnh hoặc Laser CO2 giúp loại bỏ nhanh nốt sùi nhưng có thể gây đau và để lại sẹo.
- Công nghệ ALA-PDT: Sử dụng ánh sáng cảm quang để phá hủy cấu trúc nốt sùi từ bên trong, không gây đau, thẩm mỹ cao và hạn chế tối đa tái phát.
Cách phòng ngừa mụn cóc cậu nhỏ tái phát hiệu quả
- Luôn sử dụng bao cao su khi quan hệ tình dục.
- Tiêm vaccine ngừa HPV (Gardasil) ngay cả với nam giới.
- Giữ vệ sinh vùng kín sạch sẽ, khô thoáng.
- Kiểm tra sức khỏe định kỳ cho cả bản thân và bạn tình.

Đừng để những nốt mụn cóc làm ảnh hưởng đến phong độ và hạnh phúc của bạn. Nếu phát hiện dấu hiệu bất thường, hãy liên hệ ngay với 99 MEN Clinic để được hỗ trợ tận tâm nhất.

Tiến sĩ – Bác sĩ Lê Trọng Khôi với kinh nghiệm 20 năm công tác trong ngành phẫu thuật thẩm mỹ nam giới, là người sáng lập 99 MEN clinic đi tiên phong trong lĩnh vực chăm sóc trị liệu sức khỏe nam giới. Hiện ông đang công tác tại Bệnh viện Bình Dân là Bệnh viện đầu ngành Ngoại tiết niệu – Nam khoa trong khu vực Đông Nam Á.
